Mihai Tarce

BDS, MSc Perio, MEng Software, PhD

Welcome to my website. I am a periodontist and software engineer, and currently clinical assistant professor of Periodontology and Implant Dentistry at The University of Hong Kong.

I completed my postgraduate training (2021) and PhD (2022) at KU Leuven in Belgium and have since been appointed visiting professor of Periodontology & Oral Microbiology at the same university. In 2015 I was the recipient of the ITI scholarship at the Centre for Oral Clinical Research, Queen Mary University of London, where I am currently an Honorary Clinical Research Fellow.

I have previously worked as a consultant in the Periodontology department at University Hospitals Leuven, Belgium and before that at the San Paolo university hospital in Milan, Italy.

My main research interests are

  • digital dentistry: computer-assisted implant surgery, augmented reality and artificial intelligence;
  • disease prevention: personalized oral hygiene instructions, AI-assisted predictive risk models.
Projects

kigun

kigun.org

Modern tools for dental education and research.

Lifelong smiles

lifelongsmiles.hk

Personalized oral hygiene information for dentists, hygienists and patients.
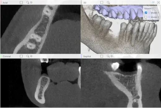
A free lightweight web-based 3D viewer for visualizing CBCT volumes and STL models.
Selected publications

Inaccuracy of buccal bone thickness estimation on cone-beam CT due to implant blooming: An ex-vivo study. T. Vanderstuyft, M. Tarce, B. Sanaan, R. Jacobs, K. de Faria Vasconcelos, M. Quirynen. J Clin Periodontol. 2019 Nov;46(11):1134-1143.

Engineered scaffolds and cell-based therapy for periodontal regeneration. D. Carmagnola, M. Tarce, C. Dellavia, L. Rimondini, E. M. Varoni. J Appl Biomater Funct Mater. 2017; 15(4):e303-e312.

Synergistic interactions between corrosion and wear at titanium-based dental implant connections: A scoping review. K. Apaza-Bedoya, M. Tarce, C. A. M. Benfatti, B. Henriques, M. T. Mathew, W. Teughels, J. C. M. Souza. J Periodontal Res. 2017; 52:946–954.

Factors determining and affecting the retention of removable complete dentures. C. Barbieri, R. Pinotti, M. Tarce, S. Decani. Dental Cadmos, Volume 82, Issue 7, September 2014, ISSN 0011-8524; 473-495.

Chronic oral pain: burning mouth syndrome (BMS) and persistent idiopathic facial pain (PIFP). D. Adamo, M.D. Mignogna, A. Sardella, M. Tarce. Dental Cadmos, Volume 81, Issue 6, May 2013, ISSN 0011-8524; 331-342.

Atypical odontoalgia: an up-to-date view. M. Tarce, C. Barbieri, A. Sardella. Minerva Stomatologica 2013; 62:163-81.

Chlorhexidine (CHX) in dentistry: state of the art. E. Varoni, M. Tarce, G. Lodi, A. Carrassi. Minerva Stomatologica 2012; 61:399-419.

Relooper: refactoring for loop parallelism in Java. Danny Dig, Mihai Tarce, Cosmin Radoi, Marius Minea, and Ralph Johnson. In Proceedings of the 24th ACM SIGPLAN conference companion on Object oriented programming systems languages and applications (OOPSLA '09). ACM, New York, NY, USA; 793-794.